Simply move the arrow from left to right to see the difference
This patient already had all his permanent teeth at ten years old, but they were not quite in balance. He wore braces for 25 months to achieve what his mother called “a very nice smile." They were very thankful for his new smile.
Patient started treatment at age 13 and wore braces for 21 months. Four teeth were removed to get this beautiful result. She was very happy with her new smile.
Patient had larger teeth in smaller jaws. She started treatment at age 12 and wore braces for 27 months. She was really proud of her new smile.
Patient had a persistent thumb sucking habit which caused his upper front teeth to protrude far in front of his lower teeth. He was motivated to quit the habit, and we got an excellent finish after 27 months.
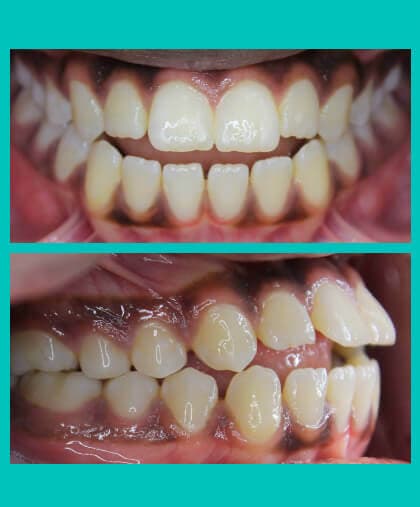
13-year-old patient had a persistent tongue sucking habit. She was treated with braces and with a tongue crib appliance to re-train the tongue. After 24 months of braces, she now has no problems biting through an apple.
41-year-old patient was tired of his teeth drifting further and further apart. He wore ceramic braces for 14 months and was very happy with the finish. Upper midline spaces are very persistent and are recommended to be retained with fixed retainers.
My always cheery 43-year-old patient desired “nicer” teeth as part of her full body make-over. She wore braces for 18 months to consolidate spaces for dental implants.
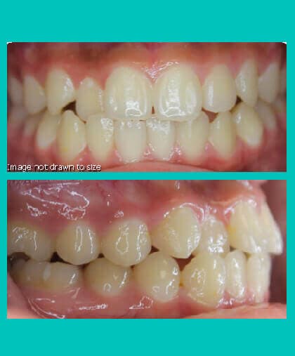
Patient started treatment at age 12 and complained of difficulty chewing her food. She wore braces for 23 months and now eats and smiles with no problem.
Phase I treatment started at age eight with expander and facemask therapy for four months, then braces for eight months. After one year, she and her dad were thrilled with her new smile. (Spaces were left to create room, into which larger permanent teeth can erupt).